Delicato intervento di chirurgia endoscopica transnasale per la rimozione di un tumore maligno
mercoledì 16 ottobre 2024
L’intervento di rimozione del tumore maligno, per via esclusiva transnasale è stato effettuato con successo ad ottobre 2023 presso la Clinica ORL di Cattinara. Ad un anno di distanza il paziente sta bene e non ha avuto recidive.
Tutto iniziò ad ottobre del 2023, quando un giovane professionista poco oltre i trent’anni di età, che lamentava difficoltà a respirare dal naso (ostruzione nasale) ed una recente insorgenza di lacrimazione oculare (epifora bilaterale), ha effettuato la visita specialistica otorinolaringoiatrica (ORL) presso la Clinica ORL di Cattinara. Durante la visita, l’esame endoscopico ha evidenziato la presenza di voluminosa neoformazione nella fossa nasale, che causava, oltre ai sintomi, anche una deformazione del palato duro. Il conseguente esame istologico, effettuato tramite biopsia, ha portato alla diagnosi di un tumore maligno appartenente alla famiglia dei condrosarcomi.
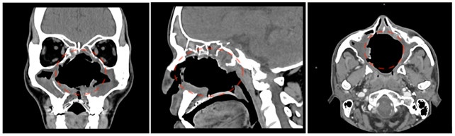
Dalle immagini preoperatorie si evince una voluminosa lesione espansiva, la massa misura circa 6 centimetri e occupa interamente le fosse nasali. A causa del tumore alcune strutture anatomiche risultano quasi irriconoscibili; i turbinati nasali, il setto nasale, le pareti ossee mediali dei seni mascellari, il palato duro, in quanto infiltrate dalla neoplasia.
Il Professor Tirelli ha sottoposto il paziente ad un complesso intervento di asportazione del tumore con un approccio combinato miniinvasivo di chirurgia endoscopica transnasale e chirurgia transorale.
L’intervento chirurgico è stato estremamente delicato a causa della vicinanza del tumore agli occhi e al cervello. Con l’approccio transnasale e transorale l’equipe ha evitato qualsiasi incisione della cute della faccia del paziente, evitando cicatrici e lesioni. L’intervento inoltre ha così richiesto una degenza contenuta di soli 8 giorni.
L’imaging effettuato nei mesi successivi e le biopsie di controllo, eseguite a un anno dalla fine della terapia, evidenziano l’assenza di recidiva della patologia oncologica, come si evince anche dall’immagine radiologica. Attualmente il paziente riferisce una buona respirazione nasale e una normale ripresa della sua vita quotidiana senza lamentare peggioramenti della propria qualità di vita.
SSD Comunicazione, URP, Relazioni esterne, Ufficio stampa/MK/ss



